کد محصول = ۱۱۱۵
آبسه دندان چیست؟

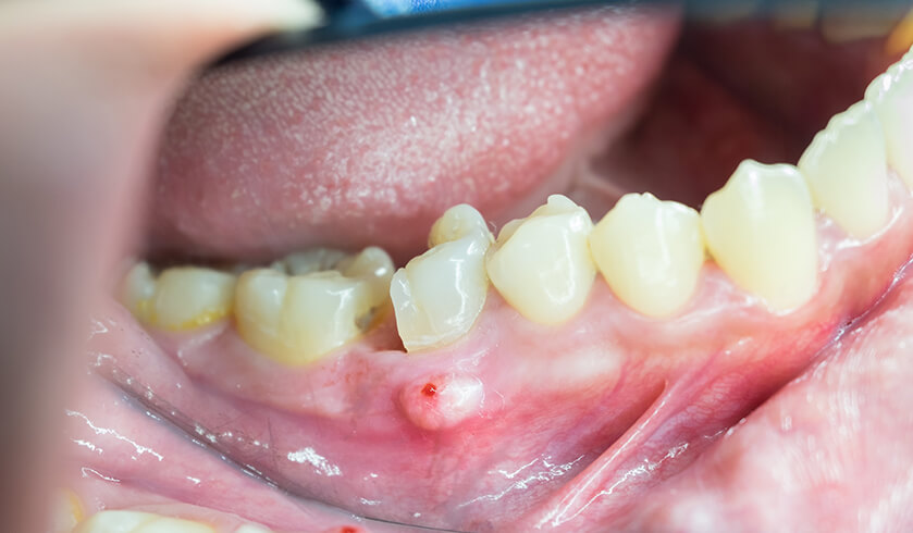
آبسه در واقع عفونت باکتریایی است که در دندان و اطراف آن شکل میگیرد. اگر آبسه در لثه ایجاد شود، به آن آبسه پریودنتال میگویند. آبسه دندان میتواند بصورت موضعی باقی بماند و درمان شود و یا در تمامی دهان بصورت سلولیت منتشر شود و مشکلاتی ایجاد کند.
علائم و نشانه های آبسه دندان
علائم آبسه دندان معمولا شامل موارد زیر است:
- درد در ناحیه عفونت
- تورم قابل ملاحظه
- قرمزی دهان و صورت
اگر عفونت پیشرفت کند، علائم زیر را میتواند در بر داشته باشد:
اگر آبسه به موقع و صحیح درمان نشود، ممکن است به دندن های مجاور گسترش یابد و آسیب جدی تری بزند.
علت ایجاد آبسه دندان چیست؟

علت اصلی ایجاد آبسه دندان، رشد باکتری ها در ناحیه پریودنتال و یا فضای ریشه دندان است.
چه زمانی نیاز به درمان اضطراری برای آبسه دندان است؟
- اگر احساس کردید علائم آبسه دندان را دارید، حتما با دندانپزشک تماس گرفته و به پزشک مراجعه کنید.
- اگر درد عفونت بسیار دردناک باشد و با داروهای بدون نسخه هم نتوان آن را کنترل کرد، بلافاصله به پزشک یا دندانپزشک مراجعه کنید.
- اگر فردی دچار درد غیرقابل تحمل، دشواری در تنفس یا بلعیدن باشد، برای ارزیابی و درمان فورا به بخش اورژانس بیمارستان مراجعه کند.
درمان خانگی آبسه دندان
مهم است که بدانیم هیچ درمان خانگی خاصی برای بهبود آبسه دندان نمی توانیم اجرا کنیم. اما موارد زیر میتواند تسکین دهنده و کنترل کننده باشند:
- استفاده از داروهای ضد التهاب غیراستروئیدی مانند ایبوپروفن و ناپروکسین میتواند به کنترل درد کمک کند. (عفونت را درمان نمیکنند!)
- اگر آبسه به خودی خود پاره شود، شستشو با آب گرم به پاکسازی دهان کمک می کند. حتی در آن زمان نیز، مراجعه به دندانپزشک برای درمان، مهم است.
- تورم ثله و دندان از نوع عفونی است نه التهابی! از قرار دادن یخ در ناحیه آبسه خودداری کنید.
بهبود آبسه دندان با محصولات فوراور
شما عزیزان میتوانید برای تهیه هر محصول این پکیج روی اسم هر محصول کلیک کرده و وارد صفحه محصول آن شوید. علاوه بر این، نحوه مصرف هر محصول در تصویر زیر قابل مشاهده است.
