کد محصول = ۱۱۱۶
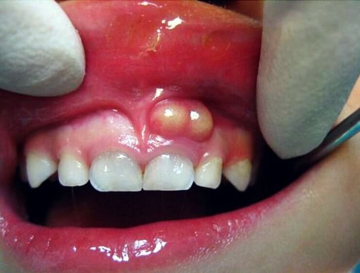
آبسه لثه (آبسه پریودنتال) چیست؟

آبسه پریودنتال به کیسه های برجسته عفونت زایی گفته میشود که در لثه بوجود می آیند. اگر متوجه برآمدگی غیر طبیعی روی لثه خود شدید، به سرعت با دندانپزشک خود ارتباط برقرار کنید.
آبسه لثه در کنار آبسه دندان، می تواند باعث ایجاد تب و لرز، مشکلات بلعیدن و احساس درد در دندان های مجاور لثه شود. این بیماری همچنین اگر درمان صحیحی نشود، می تواند در طولانی مدت باعث آسیب جدی به دندان و لثه شود و نباید از یاد ببریم که این عفونت می تواند به قسمت دیگری از بدن شما نیز منتقل شود.
علائم آبسه لثه
- حساسیت زیاد دندان به گرما و سرما
- برآمدگی های برجسته (مانند جوش) روی لثه
- تورم لثه ها
- احساس درد کردن هنگام جویدن
- دندان های شل و ول
- تغییر طعم دهان
- تب و لرز
درمان آبسه لثه (پریودنتال) چگونه است؟

در اکثر موارد، پزشک برای جلوگیری از گسترش عفونت، برای شما آنتی بیوتیک تجویز میکند. همچنین از راه های زیر برای بهبود موقتی در خانه میتوانید استفاده کنید: (حتما حتما به پزشک مراجعه کنید و از درمان خانگی خودداری نمایید!)
- قرار دادن کیسه یخ به مدت 10 تا 20 دقیقه میتواند تورم را کاهش دهد.
- بعد از تجویز پزشک، دقیقا عین دستورالعمل پیش بروید.
- آنتی بیوتیک های خود را طبق دستور مصرف کنید. مصرف آنها را فقط به این دلیل که احساس بهتری دارید متوقف نکنید. شما باید دوره کامل آنتی بیوتیک ها را مصرف کنید.
از محصولات فوراور زیر نیز در هنگام دوره درمان آبسه میتوانید برای تسریع بهبودی استفاده کنید:
شما عزیزان میتوانید برای تهیه هر محصول این پکیج روی اسم هر محصول کلیک کرده و وارد صفحه محصول آن شوید. علاوه بر این، نحوه مصرف هر محصول در تصویر زیر قابل مشاهده است.
