کد محصول = ۱۱۰۳
پیوره (چرک دندان)

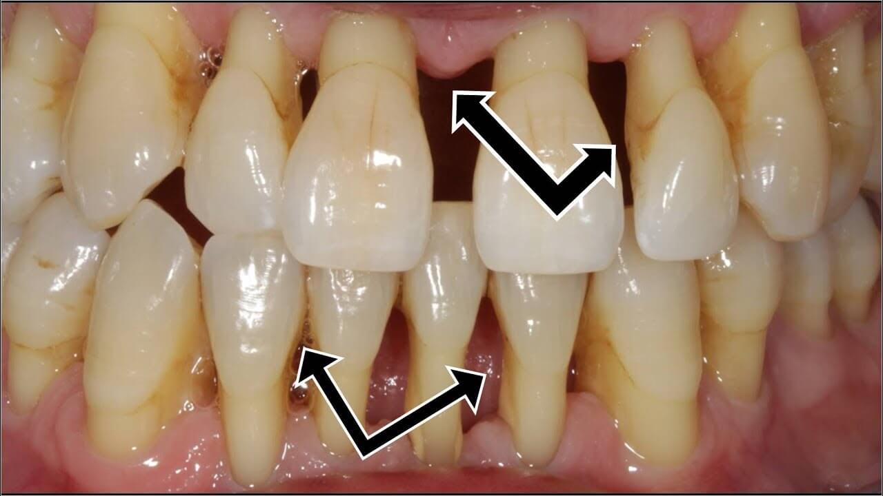
پیوره یا چرک دندان یکی از رایج ترین مشکلات دهان و دندانی است که با التهاب و زوال سلامتی لثه همراه است. اگر بیماری پیوره درمان نشود، بیمار شاهد از دست دادن دندان هایش خواهد بود. از دست دادن دندان ها در این بیماری نیز به علت تخریب استخوان آلوئولار در فک پایین و بالا است.
علائم و نشانه های پیوره یا چرک دندان
این بیماری در مراحل اولیه نشانه های چندانی ندارد اما با شروع پیشرفت آن، علائم به شکل زیر پیدا می شوند:
- هنگام مسواک زدن و نخ دندان کشیدن، قسمت هایی از لثه که زیر دندان ها هستند ملتهب می شوند. این علائم حتی هنگام گاز زدن میوه های سختی مانند گلابی و سیب نیز مشاهده می شود.
- تورم مکرر لثه ها
- هنگام تخلیه کف خمیر دندان، با تف خون همراه است.
- بوی بد دهان
- بین دندان و لثه فاصله عمیقی ایجاد شود.
- دندان ها با لمس دست یا زبون از جای خود کمی حرکت می کنند!
- در صورت نادیده گرفتن علائم، امکان از دست دادن دندان ها نیز وجود دارد.
علل ایجاد چرک دندان
بزرگترین علت ایجاد بیماری پیوره، عدم بهداشت مناسب دهان و دندان است. پریودنتیم بافتی است که زیر دندان و بالای لثه وجود دارد. تخریب این بافت در اثر سیگار کشیدن، تشکیل پلاک، رشد باکتری ها و حتی میتواند در اثر ابتلا به دیابت باشد. بطور کلی علل این بیماری شامل موارد زیر است:
- بهداشت ضعیف دهان و دندان (استفاده نکردن روزانه از مسواک و خمیر دندانی طبیعی)
- تشکیل پلاک و رشد باکتری روی دندان
- تخریب بافت زیر دندانی به نام پریودنتیم
- استعمال دخانیات
- عدم رعایت کامل بهداشت دهان توسط افراد دیابتی
بهبود بیماری پیوره یا چرک دندان با محصولات فوراور
شما عزیزان میتوانید برای تهیه و مشاهده قیمت هر محصول این پکیج روی اسم هر محصول کلیک کرده و وارد صفحه محصول آن شوید. علاوه بر این، نحوه مصرف هر محصول در تصویر زیر قابل مشاهده است.
